New Patient special this month $49.00

At The Smile Institute, we have implemented an additional option for our advanced dental hygiene program to effectively address the concerns of patients with recurring gum bacterial infections and gum bleeding. This comprehensive program aims to target the specific bacteria causing the infection, eliminate them, and provide long-term relief
1. Saliva Sample Collection: To begin the treatment process, we collect a saliva sample from the patient for DNA testing. This allows us to identify the exact bacteria present in the mouth and determine the appropriate course of action.
2. DNA Testing: The saliva sample is analyzed using advanced DNA testing techniques. This helps us identify the specific bacteria causing the infection and provides valuable information for personalized treatment.
3. Antibiotic Selection: Based on the results of the DNA testing, we determine the most suitable antibiotic to address the identified bacterial strains. In some cases, the antibiotics may be prescribed for internal use, such as oral consumption, while in others, they may be applied directly under the gums.
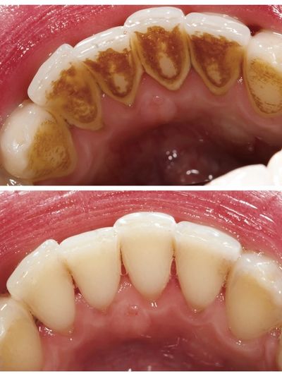
4. Removal of Existing Bacteria: After the antibiotic selection, we schedule specific visits to thoroughly remove the existing bacteria from the gums and surrounding areas. This typically involves a deep cleaning procedure known as scaling and root planing, where plaque, tartar, and bacteria are meticulously removed from the tooth surfaces and beneath the gumline.
5. Follow-up DNA Testing: Once the initial bacterial removal is complete, we conduct an additional DNA bacterial test to assess the effectiveness of the treatment. This helps us confirm if the targeted bacteria have been adequately eliminated or if further treatment is necessary.
Bacteria residing under the gums can lead to various oral health issues and have systemic implications for overall health. Research has established a strong link between oral health and several systemic diseases. Here are some examples of diseases connected to bacteria in the oral cavity:
1. Gum Disease: Bacterial infections under the gums are a common cause of gum disease, such as gingivitis and periodontitis. If left untreated, these conditions can result in gum recession, tooth loss, and bone damage. Moreover, gum disease has been linked to an increased risk of cardiovascular disease, diabetes, respiratory infections, preterm birth, low birth weight, rheumatoid arthritis, and Alzheimer’s disease.
2. Cardiovascular Disease: Studies have found a correlation between gum disease and an increased risk of cardiovascular conditions such as heart disease, stroke, and atherosclerosis. The bacteria associated with gum disease can enter the bloodstream and contribute to inflammation and the formation of arterial plaques.
3. Diabetes: Gum disease and diabetes have a bidirectional relationship. Individuals with diabetes are more prone to developing gum disease, and untreated gum disease can make it challenging to control blood sugar levels, leading to complications in diabetes management.
By specifically targeting and eliminating the bacteria causing the infection, we can halt the progression of gum disease, prevent further damage to oral tissues and supporting structures, and potentially mitigate the risk of these systemic diseases. Treating bacteria under the gums is vital for maintaining long-term oral health and promoting overall health and well-being.
Have a question or need to schedule an appointment? Contact us today and our friendly staff will be happy to assist you.
We use cookies to analyze website traffic and optimize your website experience. By accepting our use of cookies, your data will be aggregated with all other user data.